My Smile Allows Me to Connect with My Grandkids Again | Lenny's Story
The Ultimate Reconstruction Journey
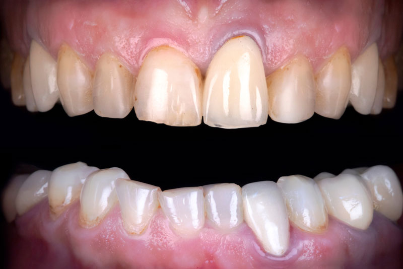
Your smile is one of your most important features, but missing teeth can create more than just a cosmetic concern. Whether it’s the result of oral trauma or decay, missing teeth can cause significant discomfort, including difficulty speaking or chewing and embarrassment. Patients may feel self-conscious about small or large cosmetic flaws in their smile, including crowding, gaps, crooked teeth, or a misaligned bite.
At Aria Dental Implants & Perio, we understand how important a healthy and attractive smile is, which is why we offer full mouth reconstruction in Sacramento, CA. Our lead periodontist, Dr. Matthew Korn, and our team are committed to restoring your smile to its natural beauty through dental reconstruction, helping you feel confident and comfortable again.

Get Pricing And Options For Treatment
Find Out Now

What Is Full Mouth Reconstruction?
Full-mouth reconstruction, also known as full-mouth restoration, is a comprehensive dental treatment that involves rebuilding and restoring the teeth, gums, and jaw bones in a patient’s mouth. This is done to correct a variety of oral health issues such as tooth decay, gum disease, and damaged or missing teeth. The process of dental reconstruction may include several restorative procedures such as dental implants, dental bridges, dental crowns, root canals, and gum tissue surgery, among others.
At Aria Dental Implants & Perio, full-mouth restoration is a popular treatment option for patients who suffer from severe dental problems. Patients who have multiple missing or damaged teeth, gum disease, tooth decay, bite problems, and jaw joint disorders are ideal candidates for full-mouth reconstruction. This dental reconstruction treatment can improve the patient’s oral health, alleviate pain, and enhance their appearance by restoring the natural look of their teeth and smile.

Smile Design Preview
Upload a recent photo of yourself and we’ll show you how you can look after All-on-4. Be sure the photo shows your current smile!
Reconstruct Your Smile
At Aria Dental Implants & Perio, our dental reconstruction begins with a thorough consultation to create a personalized treatment plan based on each patient’s dental needs. Utilizing advanced 3D imaging technology, we consider facial aesthetics, symmetry, and overall health goals to ensure the best and healthiest smile. Our comprehensive approach combines treatments like crowns, bridges, teeth whitening, porcelain veneers, and dental implants to help patients achieve their desired smile. During the procedure, we review the treatment plan, address any concerns, and administer sedation for patient comfort.
Patients are updated on progress throughout the day, leaving with a confident smile tailored to their needs. Recovery is essential, with dental implants requiring the longest healing time of three to six months. Temporary restorations are provided for function and aesthetics during the healing process, ensuring long-lasting, natural-looking results for a healthy and functional new smile.
Treatment Options for Custom Smiles
We offer a wide variety of treatments to help you fulfill your reconstruction needs and ensure you leave with a smile that is both healthy and beautiful. Our treatment options include:
- Dental CrownsContent goes here ..Dental crowns are porcelain caps that cover your natural tooth. Made from the highest quality products such as porcelain and ceramics, dental crowns are used to protect, cover, and restore your teeth’s appearance, strength, and function. Crowns can also be used after a root canal. 
- Dental BridgesDental bridges are a series of porcelain dental crowns that replace one or more missing teeth in a row. These tooth replacements attach to one or both teeth on either side of the empty tooth sockets to fill the gap from the missing teeth to restore a fully functional smile after tooth loss. 
- Porcelain VeneersGaps, chips, yellow teeth? Porcelain veneers are slim, tooth-colored shells that cover the front part of teeth to enhance their cosmetic appearance. Veneers can simultaneously treat multiple cosmetic issues, including tooth chips and cracks, discoloration, crookedness, or worn-down teeth. They’re often used in smile makeover treatments to improve the “smile zone” or the teeth that show when you smile. 
- Teeth WhiteningProfessional teeth whitening can brighten teeth multiple shades whiter in just a single session! Our professional-grade treatment penetrates deep into the inner layers of your teeth to remove deep stains alongside surface-level stains. Teeth whitening from Matt is personalized and monitored for stunning, long-term results. 
- Dental ImplantsUsed as a permanent tooth replacement to restore one or more missing teeth, dental implants are considered the “gold standard” solution. Secured into the jawbone to help with bone recession, strength, and longevity, dental implants can restore esthetics function for a lifetime of healthy smiles. 
- Root CanalsRoot canals are dental procedures performed to eliminate infected or damaged pulp from a tooth. By removing the affected pulp, the tooth can be preserved instead of being extracted. Root canals are an effective treatment that helps alleviate pain, resolve infections, and maintain natural tooth function for a healthier smile. 
- FillingsFillings are commonly utilized to repair teeth that have been affected by cavities or decay. They serve the purpose of filling the void created by the decayed portion, safeguarding the tooth from additional harm. By restoring the tooth’s structure and function, fillings play a crucial role in maintaining oral health and preventing further deterioration. 
The Proof Is In Our Patients
 
   
 
   
 
   


